Erect abdominal X-ray is usually ordered to rule out intestinal obstruction or perforation. In erect abdominal X-Ray, intestinal obstruction shows dilated intestinal loops and air-fluid levels.
The patient who has got intestinal obstruction usually presents in the emergency department of hospital complaining of; severe colicky abdominal pain and distension, vomiting, absolute constipation along with a history of a predisposing factor or a cause.
For example; The most common cause of small bowel obstruction is post-surgical or post-infection adhesions. The most common surgical procedure that may lead to small intestine obstruction are; appendectomy, surgery involving colon, intestine, rectum, uterus, cervix, ovaries, fallopian tubes and other intraperitoneal structures. The other causes are hernias, intussusception, volvulus, gallstones, foreign bodies and inflammatory diseases, etc.
On the other hand, intestinal perforation presents with signs of peritonitis, severe abdominal pain, generalized tenderness and guarding, vomiting and fever and causes include, peptic ulcer disease, gallstones, Chron's disease and infections.
Here we are going to discuss the x-ray findings of intestinal obstruction and perforation.

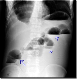
This X-Ray erect abdomen shows dilated loops of intestine along with air fluid levels. The air-fluid levels are highlighted with the help of arrows.
Intestinal obstruction can be treated with or without surgery, depending upon the cause and condition.


The X-ray finding in case of intestinal obstruction is “air under diaphragm”. Air looks blackish in the X-Ray film. The arrows in both the X-Rays show air under the diaphragm. In the chest X-ray, it can be noticed easily that the blackish lungs and blackish air under the diaphragm are separated from each other by a thin whitish ridge of the diaphragm.
Now, from the above discussion now you have learned, how to diagnose intestinal obstruction and perforation with the help of X-Rays.
If you have liked this article then share it with your friends and follow us on Facebook/Email/Twitter.
The patient who has got intestinal obstruction usually presents in the emergency department of hospital complaining of; severe colicky abdominal pain and distension, vomiting, absolute constipation along with a history of a predisposing factor or a cause.
For example; The most common cause of small bowel obstruction is post-surgical or post-infection adhesions. The most common surgical procedure that may lead to small intestine obstruction are; appendectomy, surgery involving colon, intestine, rectum, uterus, cervix, ovaries, fallopian tubes and other intraperitoneal structures. The other causes are hernias, intussusception, volvulus, gallstones, foreign bodies and inflammatory diseases, etc.
On the other hand, intestinal perforation presents with signs of peritonitis, severe abdominal pain, generalized tenderness and guarding, vomiting and fever and causes include, peptic ulcer disease, gallstones, Chron's disease and infections.
Here we are going to discuss the x-ray findings of intestinal obstruction and perforation.
Intestinal Obstruction:
Following is an X-ray that is seen in case obstruction.This X-Ray erect abdomen shows dilated loops of intestine along with air fluid levels. The air-fluid levels are highlighted with the help of arrows.
Intestinal obstruction can be treated with or without surgery, depending upon the cause and condition.
Intestinal Perforation:
Intestinal perforation, on the other hand, is an emergency and it usually needs surgical intervention. in the image below, on the left side you see an erect abdominal X-ray and on the right-hand side, you see a chest X-Ray that shows intestinal perforation.The X-ray finding in case of intestinal obstruction is “air under diaphragm”. Air looks blackish in the X-Ray film. The arrows in both the X-Rays show air under the diaphragm. In the chest X-ray, it can be noticed easily that the blackish lungs and blackish air under the diaphragm are separated from each other by a thin whitish ridge of the diaphragm.
Now, from the above discussion now you have learned, how to diagnose intestinal obstruction and perforation with the help of X-Rays.
If you have liked this article then share it with your friends and follow us on Facebook/Email/Twitter.
Comments
Post a Comment
Post Your Reply and Give Your Opinion About the Post