Cholelithiasis and choledocholithiasis
Cholelithiasis is the presence of calculus (stone) within the gallbladder. The gallbladder has a pear shape, with size approximately 10 cm. It is located near the liver and its function is to store bile. Bile is produced by the liver and is carried to the gallbladder to be stored and disposed of in the presence of food, especially rich in fats.

The contraction of the gallbladder occurs when food reaches the small intestine and the bile is poured into the duodenum (first part of the small intestine) and mix with food that came from the stomach.
The common hepatic duct is formed by the confluence of the right and left hepatic duct that joins the cystic duct to form the common bile duct that leads to the junction of the common bile duct and the pancreatic duct to form the ampulla of Vater that then enter the duodenal wall.
Stones of Cholesterol constitutes a majority of gall stones, and usually do not consist of cholesterol only, they also have calcium as another component.
Its risk factor: women, obesity, multiparity (women who had many children), family history, hypertriglyceridemia (increased triglycerides in the blood), pregnant women, etc..
Stones of Calcium bilirubinate (Black stones) are the 2nd most common stones, being more common in patients who have a destruction of red blood cells (hemolysis chronic) as sickle cell anemia, spherocytosis and others.
5% of Stones are not formed in the gallbladder, rather they are formed in common deformed bile duct (narrowing, obstruction ...).

Most patients with gallstones do not manifest any symptoms during life. The rate of appearance of symptoms is only 1% per year in asymptomatic patients.
Symptoms consist of biliary colic, which occurs when the calculus gets stuck at the opening of the gallbladder (cystic duct or infundibulum) transiently (4-6h). When the stone remains stucked by more than 4-6h then it is referred to as cholecystitis.
The biliary colic is an acute continuous pain, typically located in the location of the gallbladder or above the navel and may radiate to the right scapula. Often the pain occurs after having a fatty meal, taking meal after prolonged fasting or after a usual meal.

An association with the feeding occurs in only 50% of cases. In the remaining patients, the pain is not related to diet and begins usually at night time, which awakes the patient from sleep. The duration of pain is typically 1-5h. If it persists for more than 24 hours then it should be considered as acute inflammation or cholecystitis.
The episodes of biliary colic reoccur at intervals of days or months. Other symptoms like nausea and vomiting commonly accompany each episode (60-70% of cases).

In the patients who have symptoms (biliary colic) surgical removal of the gallbladder (cholecystectomy) should be performed.
In rare occasions, stones are formed directly in the common bile duct due to structural changes or obstruction of common bile duct, where bile stasis occurs which favours the stone formation.

Physicians should suspect choledocholithiasis in a patient (usually a woman) who has a history of biliary colic, ie, the patient who presents with cholelithiasis (gallstones) and after one day became jaundiced (yellow skin and conjunctiva). In this story, we can assume that as she had gallstones, this stone has impacted in the common bile duct preventing the outflow of bile into the intestine, and this resulted in jaundice.
Jaundice always follows choledocholithiasis and it may be transient and cyclic. ie, the patient is yellowish and then after some time yellow colour disappears, then after some time it appears again and then disappears. This happens because of the presence of the stone within the common bile duct since sometimes stone enters the gall bladder and opens the passage which results in relieve in jaundice. This feature is important since there are other causes of jaundice as well.
Ultrasonography of the biliary tree is not a very good tool to see the stones within the common bile duct or the cause of obstruction, however, will show the consequences of this obstruction, which are dilated biliary ducts. This test has the advantage of being low cost.

Magnetic resonance cholangiography of the biliary tract may be ordered to locate the presence of calculus. It has the disadvantage of being expensive.
Dr. Sarah Raquel Cavalcanti dos Santos
Cholelithiasis is the presence of calculus (stone) within the gallbladder. The gallbladder has a pear shape, with size approximately 10 cm. It is located near the liver and its function is to store bile. Bile is produced by the liver and is carried to the gallbladder to be stored and disposed of in the presence of food, especially rich in fats.
The contraction of the gallbladder occurs when food reaches the small intestine and the bile is poured into the duodenum (first part of the small intestine) and mix with food that came from the stomach.
Biliary tree = gallbladder, cystic duct, hepatic duct, right and left hepatic duct and common bile duct
Extrahepatic biliary = right and left hepatic duct, common hepatic duct and common bile duct
The common hepatic duct is formed by the confluence of the right and left hepatic duct that joins the cystic duct to form the common bile duct that leads to the junction of the common bile duct and the pancreatic duct to form the ampulla of Vater that then enter the duodenal wall.
Types of gallstones:
There are 3 types of gall stones (cholesterol, calcium bilirubinate and brown), and 2 of them are formed within the gallbladder, they are:Stones of Cholesterol constitutes a majority of gall stones, and usually do not consist of cholesterol only, they also have calcium as another component.
Its risk factor: women, obesity, multiparity (women who had many children), family history, hypertriglyceridemia (increased triglycerides in the blood), pregnant women, etc..
Stones of Calcium bilirubinate (Black stones) are the 2nd most common stones, being more common in patients who have a destruction of red blood cells (hemolysis chronic) as sickle cell anemia, spherocytosis and others.
5% of Stones are not formed in the gallbladder, rather they are formed in common deformed bile duct (narrowing, obstruction ...).
Stone formation in gallbladder?
Normally the capacity of the gallbladder is only 40-50 ml, and 600 ml of bile is produced every day. The gallbladder can only store that amount of bile and it has the capacity to concentrate bile, it absorbs water and electrolytes from the bile and concentrates it up to 5 to 10 times. This concentration can affect the solubility of two major components of gallstones: cholesterol and calcium. The stone formation occurs because of an increase in the concentration of cholesterol and calcium.SYMPTOMS of Gall Stones/Cholelithiasis:
Most patients with gallstones do not manifest any symptoms during life. The rate of appearance of symptoms is only 1% per year in asymptomatic patients.
Symptoms consist of biliary colic, which occurs when the calculus gets stuck at the opening of the gallbladder (cystic duct or infundibulum) transiently (4-6h). When the stone remains stucked by more than 4-6h then it is referred to as cholecystitis.
The biliary colic is an acute continuous pain, typically located in the location of the gallbladder or above the navel and may radiate to the right scapula. Often the pain occurs after having a fatty meal, taking meal after prolonged fasting or after a usual meal.
An association with the feeding occurs in only 50% of cases. In the remaining patients, the pain is not related to diet and begins usually at night time, which awakes the patient from sleep. The duration of pain is typically 1-5h. If it persists for more than 24 hours then it should be considered as acute inflammation or cholecystitis.
The episodes of biliary colic reoccur at intervals of days or months. Other symptoms like nausea and vomiting commonly accompany each episode (60-70% of cases).
DIAGNOSIS:
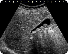
The first test to be requested in suspected cases of Cholelithiasis is the ultrasound. With the help of Ultrasound stone can be seen:TREATMENT:
When the patient does not have symptoms of gallstones, surgery (cholecystectomy) is not indicated unless: the stone is greater than 3 cm and is associated with polyps, porcelain gallbladder and congenital anomalies of the gallbladder.In the patients who have symptoms (biliary colic) surgical removal of the gallbladder (cholecystectomy) should be performed.
Choledocholithiasis
refers to the presence of gallstones within the common bile duct and it is usually a complication of cholelithiasis (presence of calculus in the gall bladder), since 90% to 95% of cases of choledocholithiasis occur due to passage of stones from the gallbladder to the common bile duct, but rare cases in which the stone formation may occur directly in common bile duct.In rare occasions, stones are formed directly in the common bile duct due to structural changes or obstruction of common bile duct, where bile stasis occurs which favours the stone formation.
When to suspect choledocholithiasis?
Physicians should suspect choledocholithiasis in a patient (usually a woman) who has a history of biliary colic, ie, the patient who presents with cholelithiasis (gallstones) and after one day became jaundiced (yellow skin and conjunctiva). In this story, we can assume that as she had gallstones, this stone has impacted in the common bile duct preventing the outflow of bile into the intestine, and this resulted in jaundice.
Jaundice always follows choledocholithiasis and it may be transient and cyclic. ie, the patient is yellowish and then after some time yellow colour disappears, then after some time it appears again and then disappears. This happens because of the presence of the stone within the common bile duct since sometimes stone enters the gall bladder and opens the passage which results in relieve in jaundice. This feature is important since there are other causes of jaundice as well.
DIAGNOSIS
First, the doctor should do a good physical exam, get a good patient history (anamnesis) and order some tests according to need.Ultrasonography of the biliary tree is not a very good tool to see the stones within the common bile duct or the cause of obstruction, however, will show the consequences of this obstruction, which are dilated biliary ducts. This test has the advantage of being low cost.
Magnetic resonance cholangiography of the biliary tract may be ordered to locate the presence of calculus. It has the disadvantage of being expensive.
What are the complications of Choledocholithiasis?
The two main complications associated with choledocholithiasis is acute cholangitis and acute pancreatitis. These conditions can range from mild to life-threatening, and immediate diagnosis and treatment are essential to minimize these risks. Therefore, complete removal of all bile duct stones is recommended for almost all patients.TREATMENT:
After diagnosing choledocholithiasis, ERCP should be performed to remove the calculus from the common bile duct.. then cholecystectomy (surgical removal of the gallbladder) should be done since the gallbladder is the main site where stone formation occurs. ERCP can be skipped and stones can be removed from the common bile duct surgically along with the cholecystectomy.Dr. Sarah Raquel Cavalcanti dos Santos
General medical, critical and reflective that can act with competence and scientific ethics in the health-disease through health promotion, prevention, protection and rehabilitation of the individual, family and community, through training excellence and committed to citizenship Follow her @
Comments
Post a Comment
Post Your Reply and Give Your Opinion About the Post