Dr Siddique Akbar Satti, the supervisor of post-graduates trainees of Department of Medicine of Capital Hospital Islamabad, and also the Examiner of College of Physicians and Surgeons Pakistan for Fellowship - Part 2 Exam, today brought a chest x-ray with an unusual finding. Questions about this X-Ray were also asked from the trainees in the last FCPS-Part II Exam. Today we like to share that x-ray with our readers.
Kindly have a look at the X-ray that is shown below and think about it and make your own list of possible abnormalities and differentials before looking at the answer that is given at the end of this article.

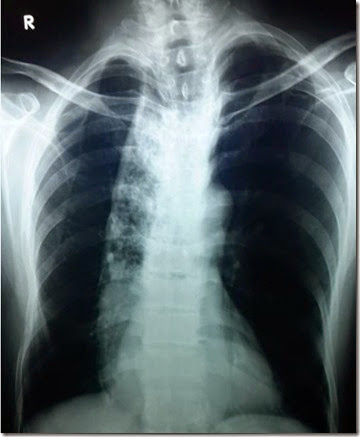
This is a posterior-anterior view of chest on X-ray film. What do you see?
By looking at this X-Ray, you clearly notice an elongated or vertical opacity along the right border of the sternum . If you look below, it disappears behind the right pericardial border. What is this elongated opacity in the mediastinum? Also, the mediastinum is dilated. Moreover, that opacity has shifted the trachea to the opposite side, that is left side. So what is it? Make your differentials in your mind.
Now if you want to order a lateral view to have a clear about this opacity. Don’t worry about it, we have this in our hand. Here is the lateral view of the same chest in X-Ray film.

In this lateral view, What you see?
Yes, You See a tubular opacity in the mediastinum and within this opacity, you also notice an air-fluid level. Now, what do you think?
Yes, you are right, this is dilated oesophagus filled with fluid and the probable diagnosis is Achalasia.
If you like this post don’t forget to share it and like us on Facebook. You may share your thoughts by commenting below.
Kindly have a look at the X-ray that is shown below and think about it and make your own list of possible abnormalities and differentials before looking at the answer that is given at the end of this article.
Here is the Chest – X-Ray, PA view:
This is a posterior-anterior view of chest on X-ray film. What do you see?
By looking at this X-Ray, you clearly notice an elongated or vertical opacity along the right border of the sternum . If you look below, it disappears behind the right pericardial border. What is this elongated opacity in the mediastinum? Also, the mediastinum is dilated. Moreover, that opacity has shifted the trachea to the opposite side, that is left side. So what is it? Make your differentials in your mind.
Now if you want to order a lateral view to have a clear about this opacity. Don’t worry about it, we have this in our hand. Here is the lateral view of the same chest in X-Ray film.
Lateral View of Chest on X-Ray.
In this lateral view, What you see?
Yes, You See a tubular opacity in the mediastinum and within this opacity, you also notice an air-fluid level. Now, what do you think?
Yes, you are right, this is dilated oesophagus filled with fluid and the probable diagnosis is Achalasia.
If you like this post don’t forget to share it and like us on Facebook. You may share your thoughts by commenting below.
Comments
Post a Comment
Post Your Reply and Give Your Opinion About the Post